Veelgestelde vragen
Pijnklachten
Worden mijn klachten met deze methode opgelost?
Dat hopen we wel. Ervaring over bijna 40 jaar wereldwijd wijst uit dat het succespercentage van deze methode 95% of meer is. Echter in niet alle gevallen betekent dit dat de klachten volledig oplossen. Er zijn veel factoren die dit bepalen. Sommige aandoeningen, zoals scoliose, zijn met deze methode niet volledig te ‘genezen’ maar de ervaring leert dat de klachten aanzienlijk kunnen verminderen.
Waar komen mijn pijnklachten vandaan?
Helaas is daar online niet zo snel een antwoord op te geven. Het doel van onze methode is om hier een antwoord op te geven. Wat vast staat, is dat de plaats van de pijn zelden de oorzaak van de pijn is. Er moet dus eerst gekeken worden wat de symptomen zijn, en wat de oorzaken. Om een voorbeeld te geven: als u knieklachten (pijn) heeft, is het vaker zo dat dit vanuit een (of beide) van de heupen komt, dan vanuit de knie zelf. Het heeft meestal geen zin om gelijk naar de knie te kijken, vandaar dat deze methode gaat kijken naar de oorsprong en oorzaak van de klachten.
Waarom is mijn pijnklacht niet eerder opgelost?
Dat kan verschillende oorzaken hebben en het is onmogelijk om deze vraag te beantwoorden zonder u gezien of gesproken te hebben. Op dit moment bent u de beste persoon om deze vraag te beantwoorden, bij deze methode geloven we dat de cliënt altijd het beste weet wat de oorzaak van klachten zijn.
Indien u naar een of meerdere therapeuten bent geweest, kan het zijn dat zij uitsluitend symptomatisch naar uw klachten hebben gekeken. Bijvoorbeeld u gaat met knieklachten naar een zorgverlener. Deze gaat naar uw knie kijken. Logisch, zegt u dan misschien. Echter het lichaam is een eenheid en het is gebleken dat de plek van de pijn meestal niet de oorzaak van de pijn is. Het merendeel van de knieklachten wordt veroorzaakt door een niet goed functionerende heup.
Methode
Wat is het verschil tussen uw methode en yoga?
Een aantal oefeningen die we in deze methode gebruiken zijn van yoga afgeleid en aangepast, of letterlijk overgenomen. Yoga is dan ook zeker een activiteit die over het algemeen op een goede manier het lichaam in beweging zet. Twee belangrijke kenmerken van een oefenserie houdingstherapie zijn:
- Een oefenserie houdingstherapie is altijd individueel en op uw lichaam (en klachten) afgestemd. Bij yoga is dat niet het geval, tenminste als u een groepsles volgt. Bij een privéles kan dit natuurlijk wel het geval zijn.
- Bij houdingstherapie is de volgorde van de oefeningen strikt bepaald, waardoor de oefeningen elkaar versterken. De eerdere oefeningen bereiden het lichaam voor en de oefeningen daarna bouwen hierop voort. Ook bij yoga is er een bepaalde opbouw, maar deze is niet specifiek gericht op dezelfde principes om de houdingsafwijkingen op te lossen.
Wordt er gebruik gemaakt van manipulatie?
Bij deze methode wordt geen gebruik gemaakt van manipulatie van het lichaam (spieren of gewrichten) zoals bijvoorbeeld bij de fysiotherapeut. Deze kan ervoor kiezen om bijvoorbeeld een lichaamsdeel of gewricht “passief” te bewegen (in tegenstelling tot de normale beweging vanuit uw eigen spieren). De fysiotherapeut (vaak gecombineerd met manuele therapie) heeft hier een specifieke opleiding voor gehad.
Deze methode is dan ook een “hands off” methode, de cliënt doet alles volledig zelf. De enige reden tot aanraking kan zijn het palperen, waarmee de stand van gewrichten (inclusief het bekken) gecontroleerd wordt. Dit is een bewuste keuze, het doel is de cliënt te leren zelfstandig, zonder hulp van anderen, zijn of haar klachten te verhelpen.
Waar komt de naam Egoscue vandaan?
Egoscue is de achternaam van Pete Egoscue, die de methode in de jaren 70 is begonnen. Vanuit het Nederlands spreek je dit uit als IE – GOS – KJOE (met een zachte G als in “go”), met de klemtoon op “GÓS”.
Zijn de oefeningen vermoeiend?
De meeste basisoefeningen zijn eenvoudig en niet conditioneel. U hoeft voor deze oefeningen geen sportkleding aan en in principe ga je van deze oefeningen niet zweten. De meeste oefeningen werken met de houdingsspieren die dieper in het lichaam zitten en wat kleiner zijn dan de grotere spieren die u misschien gewend bent om te trainen.
Gaandeweg het therapieproces zult u waarschijnlijk functioneler worden en meer uitdagende oefeningen aankunnen. Er zijn momenteel bijna 400 oefeningen in de methode (er komen er nog steeds regelmatig bij) oplopend van zeer eenvoudig tot zeer uitdagend, zelfs voor topsporters. Gaandeweg het therapieproces pas ik ook uw mate van functionaliteit aan in de software, zodat de oefeningen uitdagend blijven. Het moge duidelijk zijn dat iemand van 85 met beperkte bewegingsmogelijkheden een andere mate van functionaliteit heeft dan een professionele topsporter van 23.
Is rust niet het belangrijkste bij herstel van pijnklachten of een blessure?
In onze methode geloven wij zo ongeveer in het tegenovergestelde. Het lichaam is gemaakt om te bewegen en sterker nog, de “bewegingsarmoede” waar wij bijna allemaal aan leiden in de huidige maatschappij en manier van leven, is een van de grote boosdoeners als het gaat om klachten. “Als bewegen pijn doet, beweeg dan maar niet” is volgens ons geen oplossing. Natuurlijk kan het zo zijn dat het beter is om bepaalde bewegingen tijdelijk even wat minder of niet te doen, met de nadruk op tijdelijk.
Vergelijkt u bijvoorbeeld knieklachten waarbij de knie niet meer goed “spoort” (bijvoorbeeld patella (sub)luxatie, om de medische term hiervoor te gebruiken) met een auto waarvan de wielen niet goed uitgelijnd zijn, dan kan een aanbeveling zijn om de auto in de garage te houden zodat er geen verdere slijtage (en pijnklachten) optreedt. Of een aanbeveling om niet harder te rijden dan 50. Dan slijten de banden ook niet zoveel. Wij vinden dit geen echte oplossing. De vraag “waarom” is altijd belangrijk. Waarom spoort de knie niet (meer)? Heeft het functioneren van de heup hier misschien wat mee te maken?
Bovenstaand voorbeeld klinkt misschien wat lachwekkend en vreemd. Feit is dat de meeste mensen een dergelijk argument niet accepteren van hun garage, maar wel van een therapeut of dokter. Dat is pas vreemd! Feit is dat, ondanks dat er ontzettend veel goede doktoren, chirurgen, fysiotherapeuten et cetera zijn, de meeste medische professionals gericht zijn op het oplossen en weghalen van symptomen in plaats van te zoeken naar de oorzaak. Ik weet niet hoe het u vergaat, maar als ik bij de huisarts kom, heeft deze 5 tot 7 minuten de tijd voor mij, en zit al in de aanslag met pen en receptenboekje. Zelden komt zij toe aan het stellen van de juiste vragen om achter de oorzaak van het probleem te komen, laat staan om met een echte oplossing te komen. Voor mij is dit de achilleshiel van het huidige medische systeem. En ik kan me voorstellen dat veel medische professionals, die echt willen genezen, hier ook gefrustreerd van raken. Om een soortgelijk voorbeeld als in de vorige alinea te geven, men kiest er vaker voor om het rode waarschuwingslampje uit te schakelen dan om te gaan kijken waarom het lampje rood oplicht.
Wat maakt deze methode anders dan andere methoden?
Er zijn op de wereld vele vormen van houdingstherapie. De bekendste in Nederland zijn oefentherapie (Mensendieck / Cesar) alsmede Alexander techniek. Er zijn overeenkomsten tussen deze methoden, maar ook veel verschillen. Ik kan niet voor andere methoden spreken omdat ik deze niet goed genoeg ken, vandaar dat ik alleen over mijn eigen methode kan spreken. Het is aan u om hier uit te halen wat u belangrijk vindt, qua overeenkomsten of verschillen. Misschien heeft u al ervaring met een andere methode.
Hieronder licht ik in het kort de volgende kerneigenschappen van de methode toe:
- holistisch
- cliëntgericht en onderwijzend
- niet situatiegericht
Holistisch
De methode van houdingstherapie die ik gebruik (die is gebaseerd op de Egoscue methode) is een holistische methode, dat wil zeggen een methode die naar het hele lichaam kijkt, of eigenlijk naar de hele mens. Niet alleen het fysieke lichaam wordt meegenomen maar ook de mentale en emotionele aspecten. Primair is het echter een methode die met het fysieke lichaam werkt. Onze filosofie is dat het lichaam een eenheid is en zich als zodanig gedraagt. Een klacht is zelden lokaal. Als u een zwerende vinger heeft, heeft “u” daar last van, niet alleen uw vinger, deze pijn is moeilijk te negeren. Hetzelfde geldt als u bijvoorbeeld uw kleine teen stoot tegen de deur. Dit herinnert u er aan dat het lichaam een eenheid is.
In onze methode van houdingstherapie kijken we in eerste instantie niet naar de symptomen waarmee u komt. Komt u met knieklachten, dan gaan we in principe niet (gelijk) naar de knie kijken, maar proberen we (samen) te onderzoeken waar de oorzaak van uw knieklachten liggen. In veel gevallen liggen deze namelijk in de heup. Alle gewrichten moeten onderling goed kunnen samenwerken en op elkaar afgestemd zijn, om pijnvrij te kunnen functioneren. Bij uw geboorte was dit meestal het geval. Maar in de loop van de tijd is dit veranderd, om allerlei mogelijke redenen.
Cliëntgericht en onderwijzend
De methode ziet de cliënt en de behandelaar als gelijkwaardig. Degene die het meest van uw lichaam weet, bent uzelf. Soms is echter een “vertaler” nodig om u te leren hoe het lichaam communiceert. Daarbij proberen we de macht weer bij uzelf te leggen, zodat u zelf begrijpt hoe uw klachten zijn ontstaan, in plaats van dat een externe “deskundige” u dit vertelt. We proberen om het steeds eens te zijn over de oorzaken en de redenen van uw klachten en als we hierover van mening verschillen, kunnen we hierover in discussie gaan. Ik zal nooit pretenderen beter te weten hoe u(w lichaam) in elkaar zit dan u zelf. Een van de kerneigenschappen van de methode is het leren aan de cliënt hoe bepaalde verbanden in elkaar zitten, zodat hij/zij mij de volgende keer niet meer nodig heeft. U wordt dus geleerd om onafhankelijk van externe “deskundigen” te worden, om meer vertrouwen in uw eigen lichaam te krijgen en de signalen beter te begrijpen.
Niet situatiegericht
In de therapie werken we toe naar een teruggang naar het ideaalbeeld, de perfecte uitlijning van de gewrichten zoals deze bedoeld is, de oorspronkelijke blauwdruk. Hoe meer u deze benadert, des te minder klachten u heeft en hoe meer u (weer) kunt doen. Stel dat u nu klachten heeft tijdens het werken op de computer. Tijdens de therapie leert u niet alleen pijnvrij te werken op de computer, maar kunt u er ook voor kiezen om weer te gaan hardlopen, bungee jumpen of wat u ook wilt. Met “niet situatiegericht” bedoel ik dat deze therapie niet specifieke vaardigheden gaat oefenen (die u nu niet klachtenvrij kunt doen), maar het lichaam weer zo afstelt, dat u alles weer kunt doen.
Hoe lang duurt het voordat ik klachtenvrij ben?
Gelijk al tijdens de eerste behandeling zult u een significante afname van klachten merken. De methode werkt dus “direct”.
Het (verloop en duur van het) totale herstelproces hangt van vele factoren af, zie het antwoord op de vorige vraag. Alles valt of staat met hoe actief u meewerkt met de behandeling. Dit is een therapievorm die we volledig samen doen. Aan mijn kant zal ik mijn uiterste best doen om u op elk moment de beste oplossingen aan te reiken. Echter u zult hier zelf een actieve rol in hebben.
Over het algemeen probeer ik de bezoeken steeds verder uit elkaar te plannen, bijvoorbeeld
- Eerste bezoek in week 1
- Tweede bezoek eveneens in week 1
- Derde bezoek in week 2
- Vierde bezoek in week 4
- Vijfde bezoek in week 8
- Zesde bezoek in week 16
Enzovoorts. Zo bent u na 6 bezoeken dus 4 maanden verder en is de kans groot dat uw klachten aanzienlijk zijn verminderd. Echter nogmaals dit is een zeer individuele methode waarbij de therapie voor u op maat wordt gesneden, en het weinig zin heeft om met anderen te vergelijken. Als het voor u beter voelt om elke week langs te blijven komen (om wat voor reden dan ook) dan is dat in uw situatie het beste.
U zult niet meer bezoeken krijgen dan strikt noodzakelijk. Echter sommige klachten zijn hardnekkiger dan andere. Dit is van tevoren niet te zeggen.
Hoeveel behandelingen heb ik nodig?
Daar is geen algemeen antwoord op te geven. Dit hangt af van vele factoren, als
- hoe lang heeft u deze klachten al
- hoe ‘gecompliceerd’ zijn uw klachten (hoeveel lagen heeft de ‘ui’ die afgepeld moet worden)
- hoeveel tijd wilt u investeren in uw dagelijkse oefeningen
- hoe vaak bent u bereid om terug te komen
- diverse andere factoren zoals uw algemene gezondheid, niet alleen fysiek maar ook mentaal en emotioneel
Om toch een richtlijn te geven: de gemiddelde cliënt heeft meestal tussen 8 en 16 behandelingen nodig.
Wat is het verschil tussen uw methode en de Egoscue methode?
In de praktijk weinig. Egoscue is een geregistreerde, beschermde, merknaam die therapeuten niet zomaar mogen gebruiken. Deze is voorbehouden aan therapeuten die in dienst zijn van een officiële Egoscue-kliniek. Alleen zij mogen zichzelf “Egoscue therapeut” noemen. Het hoofdkantoor hanteert hier een strikte juridische maatstaf voor. In de praktijk is het werk dat we doen vrijwel identiek en gebruiken we dezelfde hulpmiddelen en hetzelfde software-pakket. Het grootste verschil, mijns inziens, is dat Egoscue-therapeuten een kortere lijn hebben naar het hoofdkantoor en direct met elkaar kunnen overleggen omdat er vaak meerdere therapeuten in één kliniek werken. Zoals ik elders op deze pagina beschrijf, is dat bij “losse” therapeuten eigenlijk ook het geval, omdat de lijnen met de universiteit kort zijn (1 (Skype)telefoontje of email naar de universiteit is voldoende om een praktijkgeval voor te leggen) en ik deel uitmaak van een wereldwijd netwerk van therapeuten.
Een groot verschil is de prijs. In een officiële Egoscue-kliniek (die zich uitsluitend in de VS, Mexico en Japan bevinden) kost een consult $250, zowel het initiële bezoek als een vervolgbezoek en zowel voor een persoonlijk consult als een digitaal consult. En ook daar worden behandelingen niet vergoed door de zorgverzekering.
Andere behandelingen
Kan ik mijn behandeling bij […] blijven voortzetten?
Deze methode is niet exclusief, en we zullen u ook nooit afraden om naar een andere behandelaar te gaan. Het is wel zo dat het vaak beter is om 1 methode tegelijk te gebruiken, dan kunt u zelf ook makkelijker merken wat het beste helpt.
Aan de andere kant kan deze methode u beter voorbereiden op andere behandelingen. Als voorbeeld: u bezoekt naast deze therapie ook nog een fysiotherapeut. Door vóór het bezoek aan uw fysiotherapeut uw menu te doen, komt u beter voorbereid bij de fysiotherapeut en kan deze efficienter te werk gaan.
Sporten
Kan ik blijven sporten tijdens het behandeltraject?
Dat hangt ervan af. Zoals u op de pagina Sporters en atleten kunt lezen, is geen enkele sport inherent slecht voor een mens, maar is niet iedere sport, op dit moment, goed voor uw lichaam. Dus het kan zijn dat u een bepaalde sport gerust kan blijven doen, maar het kan ook zijn dat het beter is om even te minderen. Wat we altijd proberen is om specifieke en meetbare doelen te stellen (volgens het SMART-principe) om zo snel mogelijk weer uw favoriete sport(en) op te kunnen pakken. Het kan dus zijn dat uw sport tijdelijk wordt afgebouwd om later weer op te bouwen. Het is niet zo dat wij u “anders leren bewegen”, wij helpen u om effectiever en efficienter te bewegen waardoor u uw sport(en) in de meeste gevallen beter en pijnvrij kunt uitoefenen. Als spieren en gewrichten optimaal samenwerken op een manier zoals dat oorspronkelijk bedoeld is, kan het natuurlijk wel zo zijn dat u hierdoor anders gaat bewegen. Echter wij zien de manier van beweging als symptoom, als bron van informatie, en niet als oorzaak.
Bewijzen
Het klinkt toch allemaal behoorlijk onwetenschappelijk
Ik geef toe dat bepaald taalgebruik weinig wetenschappelijk overkomt. “Teruggaan naar de blauwdruk”, “holistisch”, de invloed van mentale en emotionele aspecten, op sommige mensen komt dit behoorlijk ‘zweverig’ over. Ik kan hier een aantal dingen over zeggen.
Ten eerste denk ik dat, wetenschappelijk of niet, de resultaten voor zich spreken. Honderdduizenden mensen gingen u voor, wereldwijd, de afgelopen 40 jaar, met zeer hoge succespercentages. De wetenschap is per definitie conservatief en heeft vaak wat meer tijd nodig om iets te “bewijzen” volgens hun standaarden en dit is grotendeels terecht. Ikzelf wacht hier meestal niet op. Als ik zelf merk dat een methode (voor mij) werkt, en “goed voelt” (nog zo’n softe kwalificatie), dan wacht ik niet op wetenschappelijke goedkeuring. Uiteraard staat het u vrij om hierin conservatiever (of progressiever) dan ik te zijn. Voor mij is “wetenschappelijk bewezen” in ieder geval niet het enige criterium waar ik naar kijk.
Ik kwam laatst een mooie definitie tegen van wetenschap:
Wetenschap is een tijdelijke schijnzekerheid onder invloed van voortschrijdend inzicht
en ik ben het 100% eens met de 3 elementen die hier in zitten. De stand van de wetenschap is altijd tijdelijk, we weten nu meer dan een jaar geleden. Per definitie is dit een staat van schijnzekerheid, omdat we ook weten dat we volgend jaar meer weten dan dit jaar (voortschrijdend inzicht), en dit kan zelfs precies het tegenovergestelde zijn als wat we nu denken waar te zijn.
In het ideale geval is wetenschap objectief en staat deze open ook voor nieuwe inzichten. Helaas komt het maar al te vaak voor dat de wetenschap niet objectief is. Zeker in de gezondheidszorg denk ik dat er veel ontwikkelingen onderbelicht zijn of waarover zelfs gezwegen wordt, onder druk van macht en geld. Hier wil ik het even bij laten.
Ten slotte bent u uiteraard helemaal vrij om te doen wat u wilt, en de methode te kiezen die u het meeste aanspreekt. Het enige wat ik u vraag is om eerlijk naar uzelf te zijn en welke methode u dan ook kiest, op effectiviteit te beoordelen. Lost het uw probleem op? Of alleen de symptomen? Als u onkruid niet met de wortels uit de grond haalt, groeit het vanzelf weer terug. De tuin ziet er misschien een tijdlang mooi uit, maar dit duurt meestal niet lang.
Kijkt u ook eens naar de antwoorden over scoliose en kraakbeenverlies bij de categorie “speciale gevallen” voor enkele mooie “voor en na” foto’s. Misschien geen wetenschappelijk bewijs, maar wel echte cliënten die geholpen zijn met deze therapie.
Wat betekent 95% succespercentage?
Door de jaren heen is gebleken dat het succespercentage van deze methode zeer hoog is. Hieronder verstaan we dat minimaal 95% van de cliënten een significante verbetering (in intensiteit en/of frequentie) van de symptomen had.
Om dit succespercentage te halen moeten alle omstandigheden optimaal zijn. Denkt u aan
- het volledig meewerken, voor een optimaal resultaat dient u zich aan de instructies houden. Hoe letterlijker dit gebeurt, hoe beter over het algemeen het herstel. Bij deze methode luistert een correcte uitvoering zeer nauw en wat voor u misschien een klein detail is (wat misschien wordt gemist bij de instructie), kan een zeer belangrijk onderdeel van het herstelproces zijn.
- het elke dag doen van de oefeningen (in de praktijk 5-7 dagen per week). Zo krijgt het lichaam geen kans om “terug te vallen” in oude bewegingspatronen.
- regelmatig – met de frequentie die voor u wordt aanbevolen – terugkomen voor een update van het menu. Dit is zeer belangrijk aangezien het lichaam (zeker tijdens dit traject) continu verandert. Het is als het afpellen van een ui, de symptomen zullen dan ook gaandeweg veranderen en het menu zal daarop moeten worden afgesteld.
- direct melden van wijzigingen in symptomen maar ook in belangrijke aspecten van uw leven. Wat voor u niet relevant lijkt, kan wel degelijk invloed hebben op het herstelproces. Denk aan mentale of emotionele aspecten van uw leven. Door deze te bespreken kunnen wij het oefenprogramma optimaal op uw (wisselende) omstandigheden afstemmen.
Zijn er wetenschappelijke bewijzen van deze methode?
Op dit moment loopt er een aantal studies naar de effectiviteit van de Egoscue methode, waarop onze methode gebaseerd is. Helaas zijn dit langjarige (longitudinale) studies en zijn hier nog geen resultaten van gepubliceerd. Wel is op de pagina Links een studie te downloaden die enige jaren geleden is uitgevoerd.
Naast wetenschappelijk bewijs vinden wij ervaringen van mensen minstens zo belangrijk. Wereldwijd zijn honderdduizenden mensen de afgelopen 40 jaar succesvol geholpen met deze methode. U hoeft eenvoudig te googelen op “Egoscue” en u kunt de ervaringen lezen, waarvan de meeste positief zijn.
Verder, als u bijvoorbeeld op Amazon.com zoekt naar boeken van Pete Egoscue (bijvoorbeeld deze link) dan zult u zien dat de recensies van deze boeken zeer positief zijn. Let wel dit zijn mensen zoals u en ik die hun (pijn)klachten zelfstandig hebben behandeld met meestal alleen een van de boeken. Hoe veel effectiever denkt u dat de behandeling zal zijn als deze voor 100% toegespitst wordt op uw klachten en uw houding?
Deze boeken zijn overigens ook via ons te koop, zie Hulpmiddelen en boeken
Kosten en vergoeding
Zijn er kortingen mogelijk?
Momenteel zijn er de volgende kortingen actief:
- Als u aantoonbaar een nieuwe cliënt aanbrengt krijgt u beiden 10% korting op de eerstvolgende behandeling.
- Als u meerdere behandelingen tegelijk boekt en betaalt, krijgt u korting, en hoe meer behandelingen hoe meer korting. Kijk voor de details op de pagina Prijzen en pakketten. De reden voor deze korting is het stimuleren van meerdere bezoeken, omdat dit de effectiviteit van de therapie aanzienlijk verhoogt. Zie ook het antwoord elders in deze lijst met veelgestelde vragen.
Worden de kosten van de behandeling vergoed door de zorgverzekering?
Op dit moment (nog) niet. Deze methode van houdingstherapie wordt nog niet erkend door de Nederlandse zorgverzekeraars. Dit betekent dat zij de behandeling (nog) niet vergoeden. Ik ben bezig om te kijken of dit in de toekomst mogelijk is.
Hoewel het jammer is dat u de behandeling (op dit moment) zelf dient te betalen, vraag ik u ook om dit goed af te wegen tegen de alternatieven. In Nederland worden veel behandelingen vergoed vanuit de zorgverzekering. Dit betekent echter niet dat deze behandelingen ‘gratis’ zijn. Uiteindelijk draait iedereen, via premies van ziektekostenverzekering (en belasting voor AWBZ-behandelingen) op voor de kosten van behandelingen. Hier zitten hele dure behandelingen bij zoals het vervangen van gewrichten – een heup- of knie vervangen is bijvoorbeeld gangbaarder dan vroeger. Het blijkt dat deze operaties in veel gevallen niet nodig zijn, bij toepassing van houdingstherapie. Hierdoor kunnen dergelijke operaties vermeden worden, uitgesteld, en indien de operatie al heeft plaatsgevonden verloopt het herstelproces aanzienlijk gunstiger. Ook neemt de kans dat er alsnog problemen komen (aan dezelfde heup of knie, of juist aan de andere kant) aanzienlijk af door het gebruik van deze methode.
Nu de vergoedingen van de zorgverzekeringen steeds meer uitgekleed worden, de premies stijgen en steeds meer mensen gebruik maken van hoge eigen risico’s, is het in de praktijk al zo dat veel mensen zorg uit eigen zak betalen.
Ten slotte wil ik u vragen om, als u alternatieven overweegt, u niet alleen de financiële kant van het verhaal meeneemt. Na een (knie of heup)operatie/vervanging bijvoorbeeld, volgt doorgaans een pittig revalidatietraject. Ik heb helaas in mijn eigen naaste omgeving meerdere malen meegemaakt dat dit een zeer moeizaam traject werd (overigens hoop ik dat het bij een ieder zeer voorspoedig verloopt!). Implantaten hebben daarnaast een beperkte levensduur van hooguit 15 tot 20 jaar. En als de oorzaak van uw klachten niet wordt aangepakt, maar uitsluitend de symptomen, dan zullen de klachten na verloop van tijd terug komen, aan dezelfde kant of mogelijk aan de andere kant.
Ik probeer hiermee geen horrorscenario te schetsen of chirurgen in diskrediet te brengen. Er vinden dagelijks wonderen plaats op de operatietafel en de wetenschap is tot steeds meer in staat. Ik vraag u alleen om alle aspecten mee te nemen in uw overweging en te doen wat voor u het beste is. Ik heb liever dat u bij mij komt voor een gratis consult of advies (second opinion) voordat u een belangrijke keuze maakt zoals het laten opereren. Het is me uiteindelijk om uw welzijn te doen en niet om de financiën.
Speciale situaties
Mijn kraakbeen is weggesleten. Kunt u mij toch helpen?
Jazeker kunnen wij dat. We zullen samen op zoek gaan naar de oorzaak waarom uw kraakbeen is weggesleten. Wat veel mensen niet weten (zelfs doktoren) is dat kraakbeen, net als bijna al het andere menselijke weefsel, gewoon terug kan groeien. Echter als het de kans niet krijgt, omdat uw gewrichten niet in de juiste stand staan, zal het kraakbeen blijven slijten. Het is dus zaak dat we de gewrichten (over het hele lichaam) terugbrengen naar de oorspronkelijke blauwdruk zodat het kraakbeen de kans krijgt om terug te groeien.
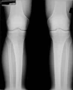
Kijkt u eens naar de volgende röntgenfoto’s. In de eerste foto ziet u dat er kraakbeenverlies is in de rechter knie. Deze cliënt werd geadviseerd om de rechterknie te laten vervangen (klik voor een vergroting).
Wat ook te zien is, is dat het rechter bovenbeen scheef staat ten opzichte van het onderbeen. Door deze scheefstand slijt de rechterknie ongelijkmatig aan de rechterkant en krijgt kraakbeen niet de kans om te herstellen.
Onderstaande röntgenfoto is genomen na het doorlopen van een behandeltraject in de Egoscue kliniek van Austin, Texas. De foto is 15 maanden later genomen.
Zoals u hopelijk kunt zien, heeft het kraakbeen in de rechter knie zich hersteld na een behandeltraject met houdingscorrectie. Door de spieren en gewrichten te trainen is ook de hoek tussen onder- en bovenbeen weer normaal geworden en als gevolg hiervan heeft het kraakbeen de kans gehad om terug te groeien (en niet weer afgesleten te worden).
Voor het volledige verhaal van deze cliënt bekijk deze link (in het Engels).
Het is overigens al langere tijd bekend dat kraakbeen gekweekt kan worden in het laboratorium.
Ik kan niet goed lopen/staan of heb een andere handicap
Dit is doorgaans geen probleem. Bij deze methode wordt de therapie op de persoon toegesneden en we beginnen met de oefeningen die u op dit moment kunt doen. Kunt u bijvoorbeeld alleen zitten en moeilijk staan of liggen, dan beginnen we met alleen zittende oefeningen. Onze ervaring is dat gaandeweg het therapieproces uw mogelijkheden toenemen en we langzamerhand meer uitdagende oefeningen opnemen in het programma, uiteraard na overleg. Zo wordt u steeds functioneler. Zijn er bewegingen die u vanuit uw beperking helemaal niet kunt doen, dan zijn daar altijd alternatieven voor te bedenken. De kracht van deze methode is de flexibiliteit.
Ik heb een beenlengteverschil. Kunt u mij ook helpen?
Wat in de volksmond als een beenlengteverschil wordt gezien, is dat meestal niet. Slechts in een zeer klein percentage van de gevallen betreft het een daadwerkelijk verschil in lengte van het been. In de overige gevallen is er meestal 1 heup die hoger staat dan de andere.
Om dit te controleren kunt u het volgende doen: ga op uw rug liggen met uw benen omhoog tegen een muur en probeer zo dicht mogelijk tegen de muur te komen (liefst in een hoek van 90 graden), zoals in het onderstaande plaatje. Let op: als uw billen van de grond komen, moet u iets naar achteren.

Wacht een paar minuten tot beide heupen eventueel wat gezakt zijn en kijk dan hoe hoog beide hielen zijn. In de meeste gevallen zijn deze op gelijke hoogte, wat betekent dat het probleem in een (of beide) van uw heupen zit en niet het gevolg is van een beenlengteverschil.
Heupen die niet op dezelfde hoogte zitten (van voren gezien) zijn heel goed met deze methode te behandelen. Maar ook als u tot het kleine percentage behoort dat een daadwerkelijk beenlengteverschil heeft, kunnen uw symptomen en klachten met behulp van deze methode prima behandeld worden.
Ik heb scoliose. Is dat met uw methode ook te verhelpen?
Scoliose reageert meestal goed op deze therapie. Het is echter niet volledig te verhelpen. De mate van kromming is vaak flink te verbeteren, zie de volgende “voor en na” foto’s en röntgenfoto’s (van 3 verschillende mensen) die goed op de therapie gereageerd hebben (zij zijn in een Egoscue-kliniek behandeld). Hierdoor hebben zij minder last van symptomen en klachten en is de kwaliteit van leven aanzienlijk vooruit gegaan.




Ik heb (ernstig) overgewicht. Kan ik toch deze methode doen?
Ja, in principe is het werken aan de houding niet afhankelijk van lichaamsgewicht. Door de gewrichten weer in de juiste stand te krijgen ten opzichte van elkaar, zullen klachten verminderen of verdwijnen, en uw gewicht is hier geen bepalende factor in.
Wel kan het zo zijn dat ernstig overgewicht het vaststellen van de stand van de gewrichten moeilijker kan maken. Echter er zijn altijd manieren om hier creatief mee om te gaan. Verder kan het zo zijn dat uw gewicht het moeilijker maakt om bepaalde bewegingen uit te voeren. In dat geval gaan we op zoek naar alternatieven.
Het is nooit zo dat alleen overgewicht bepaalde pijnklachten veroorzaakt. Als uw gewrichten niet meer goed uitgelijnd zijn, is het waarschijnlijk wel zo dat een hoger lichaamsgewicht een verhoogde kans geeft op klachten. Er zit immers meer druk op de gewrichten en een afwijking van de ideale houding zal eerder kritisch zijn dan bij iemand die geen overgewicht heeft.
Staat uw vraag er niet tussen of is deze niet afdoende beantwoord? Neem contact op met info@houdingstherapie-hercules.nl





