U bent misschien gewend om uw leeftijd te zien als een getal in jaren. Voorbeeld: u bent geboren in januari 1990 en dus bent u 30 jaar oud. Maar hoe oud is uw lichaam eigenlijk? Het blijkt dat niet alle delen van het lichaam even oud zijn. Dit heeft te maken met de regeneratietijd. Om een voorbeeld te geven: in 4 maanden hebben al uw rode bloedcellen zich volledig vernieuwd. Dus uw rode bloedcellen zijn maximaal 4 maanden oud, gemiddeld gezien jonger. En gelukkig maar, anders was bloed doneren niet zo populair. Enkele andere cijfers: de lever vernieuwt zich in 5 maanden en de huid in 2-4 weken. Elk uur vernieuwen zich in het lichaam maar liefst 1 miljard cellen! Het lichaam vernieuwt zichzelf continu. Zie het volgende plaatje voor een aantal voorbeelden. Uw skelet vernieuwt zich overigens elke 10 jaar volledig.

Ouderdomskwalen?

Als we dit weten, hoe moeten we kijken naar zogenaamde ouderdomskwalen? Waarom hoort u soms van de dokter “u heeft last van uw knie vanwege uw leeftijd”? Mijn eerste tegenvraag zou dan zijn, “en hoe oud is mijn andere knie? En waarom heb ik daar dan geen last van?” maar gezien het bovenstaande is uw skelet, laat staan de knie, maximaal 10 jaar oud. Hoeveel 10-jarigen hebben last van hun gewrichten? En waarom heeft niet iedereen van uw leeftijd last van de knie?
Als klanten bij een intake daarom zeggen of vragen “ligt het aan mijn leeftijd?” leg ik dit ook altijd uit. Ik denk zelf dat het niet de leeftijd is, maar dat het gaat om patronen die steeds weer worden toegepast. Oude patronen gecombineerd met een nieuw lichaam(sdeel) geeft hetzelfde resultaat. Het beste, in mijn optiek, is dan om de patronen te wijzigen, en in dit geval de bewegingspatronen. Dat is wat we doen bij houdingstherapie.
Herstel van kraakbeen
Veel mensen denken dat kraakbeen niet kan herstellen, dat het lichaam geen nieuw kraakbeen kan aanmaken. Wat je hebt, daar moet je het mee doen voor de rest van je leven. Dit blijkt niet het geval te zijn. Steeds meer onderzoeken bevestigen dit. Zelfs in laboratoria kan nieuw kraakbeen gemaakt worden. Maar het lichaam kan ook dit prima zelf. Bij artrose is er sprake van slijtage van het gewricht. Wikipedia omschrijft dit mooi: “Artrose ontstaat doordat er meer gewrichtskraakbeen verloren gaat dan er door het lichaam geproduceerd kan worden.”. Met andere woorden, het is niet alleen zo dat het kraakbeen afslijt en niet meer terug groeit. Wat er gebeurt is dat het kraakbeen sneller afslijt dan het kan aangroeien. En dit kan onder andere komen door een verkeerd bewegingspatroon. Een voorbeeld: als de knieschijf niet recht staat maar de knie naar binnen staat (x-been in de volksmond) of naar buiten (o-been), staat er extra druk en dus slijtage op 1 kant van de knie. Het kraakbeen zal aan die kant eerder wegslijten bij dagelijks gebruik. Op een gegeven moment is het kraakbeen op en is er bot-op-bot contact. En dit is uiterst pijnlijk, zoals velen van u helaas weten.
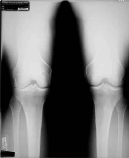
Voorbeeld
Zie hieronder een röntgenfoto voor een voorbeeld. Zoals u kunt zien is een deel van het kraakbeen van de rechterknie weggesleten (links op de foto). Hierdoor staat de knie naar binnen. Maar wat was er eerst, de slijtage van het bot of de stand van de knie?

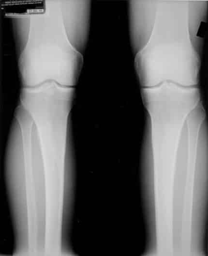
Deze röntgenfoto is van een cliënt van een Egoscue-kliniek (de methode waarop houdingstherapie is gebaseerd) in Austin, Texas. Deze is aan de slag gegaan met uitsluitend houdingstherapie-oefeningen. Iets meer dan een jaar later heeft hij weer röntgenfoto’s laten maken. Zie de foto hieronder.

Zoals u kunt zien, is het kraakbeen teruggegroeid. De knie lijkt weer als nieuw. En de klachten waren verdwenen. Dus het kan zeker, kraakbeen laten teruggroeien. Het lichaam moet alleen de kans krijgen om het kraakbeen te laten groeien zonder dat het steeds weer wordt afgesleten. Op het moment dat het gewricht in de juiste, neutrale, stand is, zal het kraakbeen niet langer wegslijten. Het is een beetje als dweilen met de kraan open: zolang de kraan open staat, kun je bezig blijven. Doe eerst maar de kraan dicht, pak eerst de echte oorzaak aan.
Spieren en botten
Spieren vertellen botten wat ze moeten doen en wat hun stand is. Door oefeningen te doen voor de spieren kunnen we de botten in een betere stand brengen en dat is bij bovenstaande voorbeeld-cliënt ook gebeurd. Deze cliënt was bij een bekende orthopedische kliniek geweest waar ze hem hadden verteld dat de enige optie een nieuwe knie was. Toen hij na een jaar terugkwam in de kliniek (waar de röntgenfoto’s ook genomen zijn) stond de specialist versteld, hij had dit nog nooit gezien. Echter als je logisch nadenkt is dit helemaal niet zo vreemd. Het lichaam werkt hard om weer functioneel te worden, het heeft soms alleen even een zetje nodig.
Onnodige operaties
Jaarlijks worden ontzettend veel onnodige operaties uitgevoerd, zie bijvoorbeeld dit artikel. Ik zeg niet dat alle knie-, heup- of schouderoperaties overbodig zijn. Wel pleit ik ervoor om eerst, voor u zo’n ingrijpende operatie overweegt, kijkt naar alternatieven die op natuurlijke manier het evenwicht in uw lichaam herstellen. De orthopedisch specialisten en chirurgen zijn tegenwoordig erg knap, maar ze weten niet altijd dat er ook alternatieven zijn. Een operatie kan altijd nog.
Zelf werken aan uw houding of chronische pijn?
Neem contact op om er achter te komen of houdingstherapie iets voor u is of vraag een gratis telefonisch consult aan.
Doe een gratis en vrijblijvende quick scan van uw houding!
Schrijf u in voor het eerstvolgende webinar over een pijnvrij leven!
Klik hier om u in te schrijven voor de nieuwsbrief van de Praktijk voor Houdingstherapie Hercules.
Meer lezen
Wie meer wil lezen, klik op een van onderstaande Engelstalige links:
Dit artikel over het teruggroeien van kraakbeen.
Deze pagina met het volledige verhaal van de cliënt van de röntgenfoto’s.

